Treatment for gum recession
Different types of gum recession treatments
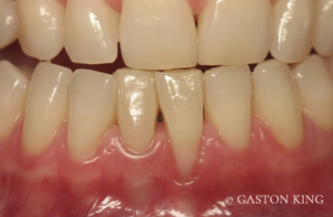
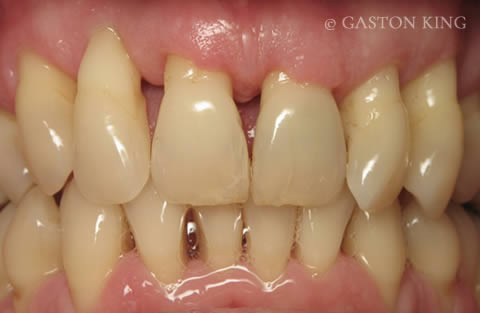
Upper teeth
Before and after treatment of gum recession - Case 1

Before Treatment

After Treatment
Before and after treatment of gum recession - Case 2

Before Treatment

After Treatment
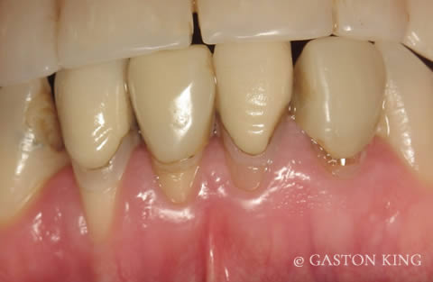
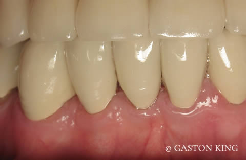
Lower teeth

Before Treatment

After Treatment
Teeth that are capped or crowned

Before Treatment

After Treatment
Teeth that have fillings

Before Treatment

After Treatment
Before, during or after orthodontic treatment

Before Treatment

After Treatment
Teeth next to a gap filled with a dental implant

Before Treatment

After Treatment
During dental implant treatment

Before Treatment

After Treatment
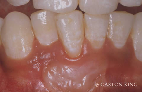
What happens when my gums can’t be treated with gum grafts?
Sometimes the gum disease is so advanced that there is loss of underlying bone which can’t be regenerated. Therefore gum grafting is not possible but with a special technique the gums can be replaced using a synthetic comfortable soft gum veneer. It is life changing for the patients!

Before Treatment

After Treatment

Before Treatment

After Treatment
Who provides treatment for gum recession?
Gum graft treatments are usually usually provided by periodontists because it is technically demanding and requires specialist training.
What causes gum recession?
The most common causes are incorrect toothbrushing and using a hard toothbrush. Poor plaque control is also a key factor as it causes inflammation of the gums that may in time lead to gum recession. There are many other factors that may be important and these need to be specifically evaluated and discussed before any treatment is undertaken.
Can gum recession be treated?
Yes, gum recession can be successfully treated. Scientific studies show that the method of treatment used by Dr King is predictable and long-lasting.
How is gum recession treated?
After a careful assessment of your gums, we will be able to predict how much of the root surface (exposed due to gum recession) can be covered with new gum. We numb your gums first and then take a small piece of gum (a gum graft), usually from the roof of your mouth, and transplant it over the exposed root surface. The gum graft will heal over the root surface, making it look better and reducing the chances of further gum recession in the future.
Does it hurt?
The techniques we use ensure that there is very little post-operative discomfort. Effective pain killers are available if needed to give you comfort after treatment without the need to take time off work.

