Dental Implants
Why is gum health so important before having dental implants?
Gum health around all your teeth is essential before considering dental implants to replace missing teeth. Without it you may be risking gum disease around your dental implant. We make sure you have gum health, or return you to gum health if necessary, prior to implant treatment. Having a Periodontist involved in your implant treatment may also help you to avoid losing any other teeth to gum disease and save some teeth that were going to be replaced with a dental implant.
Before and After Dental Implants

Before Treatment - New immediate denture provided by GDP

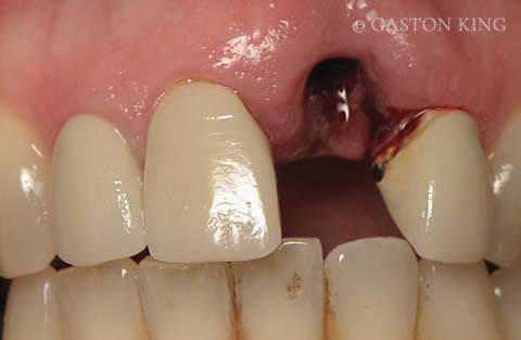
Before Treatment - Without top denture

During Treatment -before stitches removed 2 weeks after Implant placed and bone grafting

After Treatment with dental implant

Before Treatment: Advanced gum disease, hopeless teeth and failed bridge

During Treatment - Implants and bone grafting

After Treatment -X-ray 12 years post treatment

12 Years After Treatment - with dental implants
Do I have enough bone?
If your tooth has been missing for some time, the bone is likely to have become thinner or to have shrunk because the tooth root actually keeps the shape of the jaw bone. Once the tooth root is removed the jaw bone shrinks. If the bone has shrunk, you may need to have additional bone built up in the area. If this is necessary for you, it can be discussed further at your consultation.

Before Treatment

After treatment with gum graft to treat recession, block bone graft (rebuild lost bone) and new tooth (dental implant)
Increasing keratinised gingiva around implants

Following sinus bone augmentation and two implants placed below the gum, loose non-keratinised gingiva extends to the crest of ridge (arrows).

Gum graft increases width of keratinised gingiva (black arrows) and protects new implant crown margins (white arrows) to help prevent peri-implantitis.
Why should I replace my missing teeth with a dental implant?
When you lose a tooth, it is often best for your oral health to have it replaced. Missing teeth can affect your bite as well as your ability to chew and speak. Their loss can increase the burden on your remaining teeth as well as affect your appearance and your self- confidence. An implant can stop your jaw bone shrinking once you have lost your tooth.
What are my tooth replacement options?
- Leave the space or gap. The problem here is that other teeth move or tilt into the space and the bite is altered. When it is in the front of the mouth, leaving the gap is usually not acceptable to most people.
- A removable plastic or metal-based partial denture is relatively inexpensive but also often not acceptable because it can be removed. A denture can damage adjacent teeth, especially if it is poorly fitting.
- A fixed bridge is where several teeth are joined together and cemented onto the adjacent teeth on either side of the gap. The adjacent teeth need to be strong and may be cut down to form stumps.
- A dental implant replaces the tooth and supports the new crown on top.
What are the benefits of having a dental implant?
- The new tooth will look and feel like your own teeth.
- You do not have to wear a denture, or have to grind down the adjacent teeth to secure a bridge.
- You will have confidence in chewing food, just as you do with you own teeth.
- If you wear dentures already, implants can secure a denture and improve your chewing power and confidence.
What is a dental implant and how does it work?
The best way to describe a dental implant is to compare it to a real tooth. A natural tooth consists of a root and a crown. The root is anchored in the jaw bone and the crown is the part of the tooth that appears above the gum.
When you lose a tooth, you lose both crown and root.
Essentially, the implant replaces the lost root of a tooth and is made of titanium. A post is screwed into the centre of the implant and a crown is then either screwed or cemented on top.

How are dental implants placed?
The whole procedure can be done simply in the dental chair. As it is a surgical procedure we use strict sterile conditions. After the gums are numbed, the gum is gently lifted and special instruments prepare the socket for the implant. After the implant is in position, soft stitches will be used to help the healing. Approximately six weeks later, the gum is gently uncovered from the implant and a small metal button is screwed into the implant. One week later, an impression is taken of the implant and sent with the right colour match to the laboratory to construct the new crown. Two weeks later, the crown is fitted.
Will I be without teeth during treatment?
No, you can continue to wear your denture or temporary bridge.
Will it hurt?
No, we numb the gums, so you will not feel anything during treatment. Post-operative pain is not usually a problem for patients either, and any of the simple painkillers you might take for a headache will be all that is needed for a day or two.
If I am really anxious, can you make it more comfortable for me?
We have very effective means by which you can achieve a relaxed state, so there is no need for you to be anxious and nervous. Some patients prefer to have their implants placed under conscious sedation. A carefully controlled amount of sedative (valium-like substance) is placed in the arm to help relax you.
Can implants be placed at the same time as removing the tooth?
Sometimes it is possible to take out the tooth and place the implant at the same time. The advantage here is that it shortens treatment time. Immediate placement of the implant following tooth extraction is an acceptable treatment approach and is gaining scientific support. However, each case has to be selected on its merits, as this approach involves more risk of complications.
How long will the implants last?
Research and clinical studies show that implants are a predictable, long-lasting and successful treatment option. Such is our success rate that we will guarantee any implant in the first year, which means that if one of your dental implants does not heal in the bone we will replace the implant and do the surgical replacement free of charge.

Before implant treatment

4 years after extraction, gum graft, block bone graft and new tooth (dental implant)
Opening Times
| Monday |
8.30 – 5.00 |
| Tuesday |
8.30 – 5.00 |
| Wednesday |
8.30 – 5.00 |
| Thursday |
8.30 – 5.00 |
| Friday | 8.30 – 1.30 |
